반응형
발가락 골절 완치 기간과 재활 전략
일상에서 가벼운 부딪힘이나 스포츠 활동 중의 충격만으로도 발가락 골절은 쉽게 발생합니다. 손가락 하나 부러진 것쯤이야 하고 넘어가기 쉽지만, 발가락은 체중 부하와 균형 유지에 직접 관여하기 때문에 완치 기간과 재활 계획이 소홀하면 만성 통증, 관절 강직, 변형(말유합)까지 이어질 수 있습니다.

본 글에서는 발가락 골절 완치 기간의 평균적 경과를 단계별로 짚고, 집에서 실천할 수 있는 재활 프로그램과 주의사항을 정리했습니다.
발가락 골절 완치 기간 타임라인
| 주차 | 신체 변화 | 관리 포인트 |
| 0–1 주 | 출혈·부종 절정 | 얼음찜질 20 분 × 6회/일, 버디 테이핑 시작 |
| 2–3 주 | 뼈 유합 초기, 통증 완화 | 부분 가벼운 체중 부하 허용, 발목 ROM(가동범위) 운동 병행 |
| 4–6 주 | 골전형 완료(단순 골절 기준) | 단단한 밑창 슈즈로 보행 연습, 맨발 체중 이동 훈련 |
| 6–8 주 | 근력 · 균형 회복 | 점진적 조깅, 제자리 점프, 스포츠 복귀 테스트 |
| 3 개월↑ | 고난도 스포츠 복귀 | 착지·방향 전환技 훈련, 피로 골절 재발 예방 교육 |
평균 4–6주에 일상 보행이 가능하지만, 고령·흡연·당뇨·골다공증이 있으면 2주 이상 지연될 수 있습니다.
발가락 골절 치료기간에 대한 기본 이해
발가락 골절 분류


- 무지(엄지) 골절: 체중 부하가 커서 합병증 위험↑
- 중간지(2–4번째) 및 새끼발가락 골절: 비교적 단순하지만 변형 시 기능 저하
- 피질부(말단) 파열, 간부(몸통) 골절, 관절 내 골절, 스트레스 프랙처 등으로 세분화합니다.
발가락 골절 증상·진단 포인트



- 국소 붓기·홍반·멍
- 걸을 때 날카로운 통증 또는 불안정감
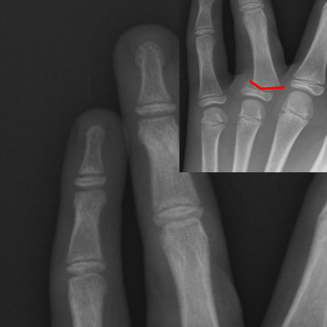
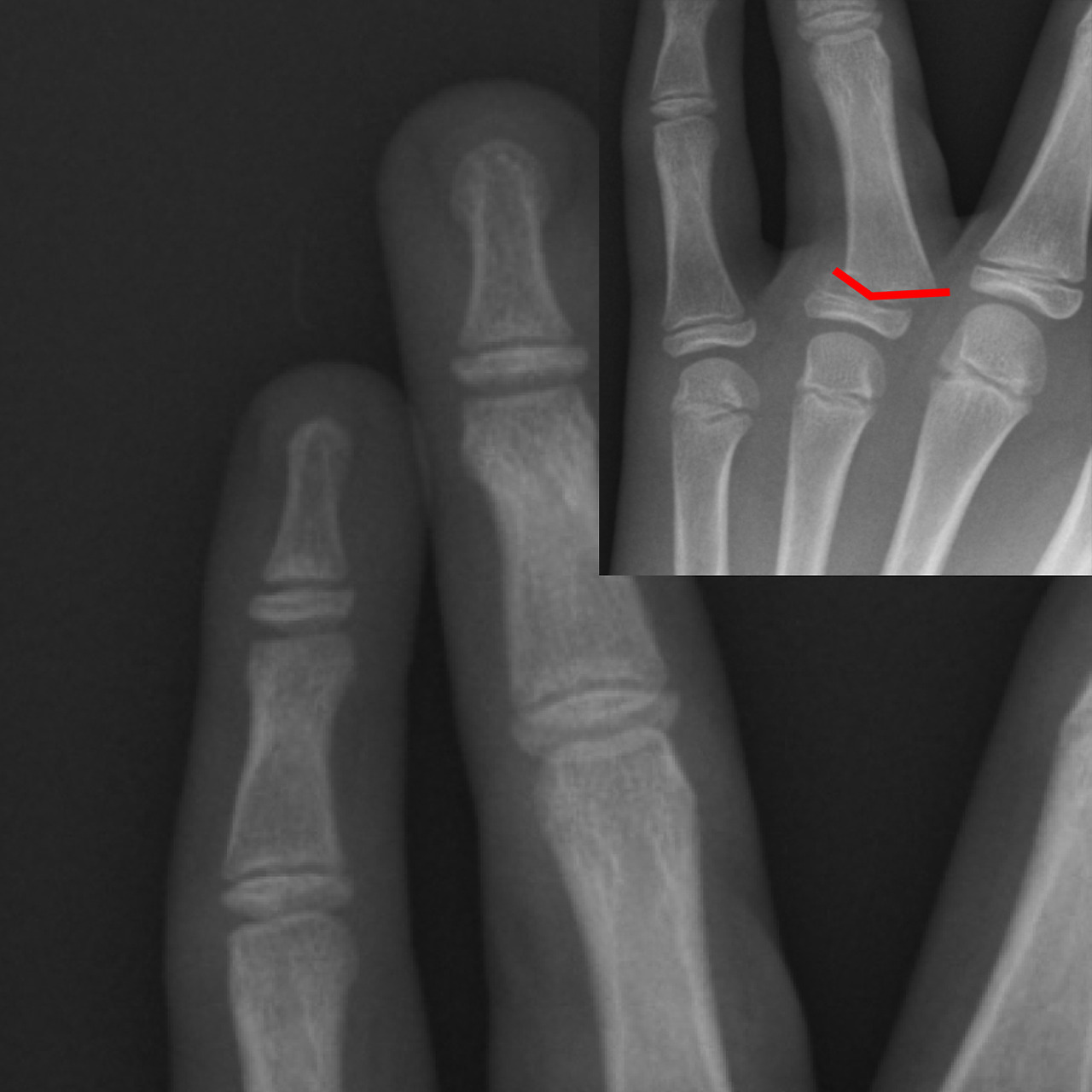
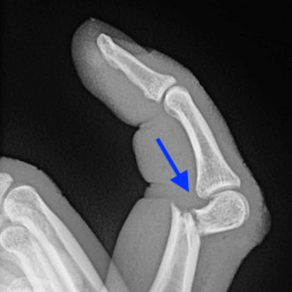
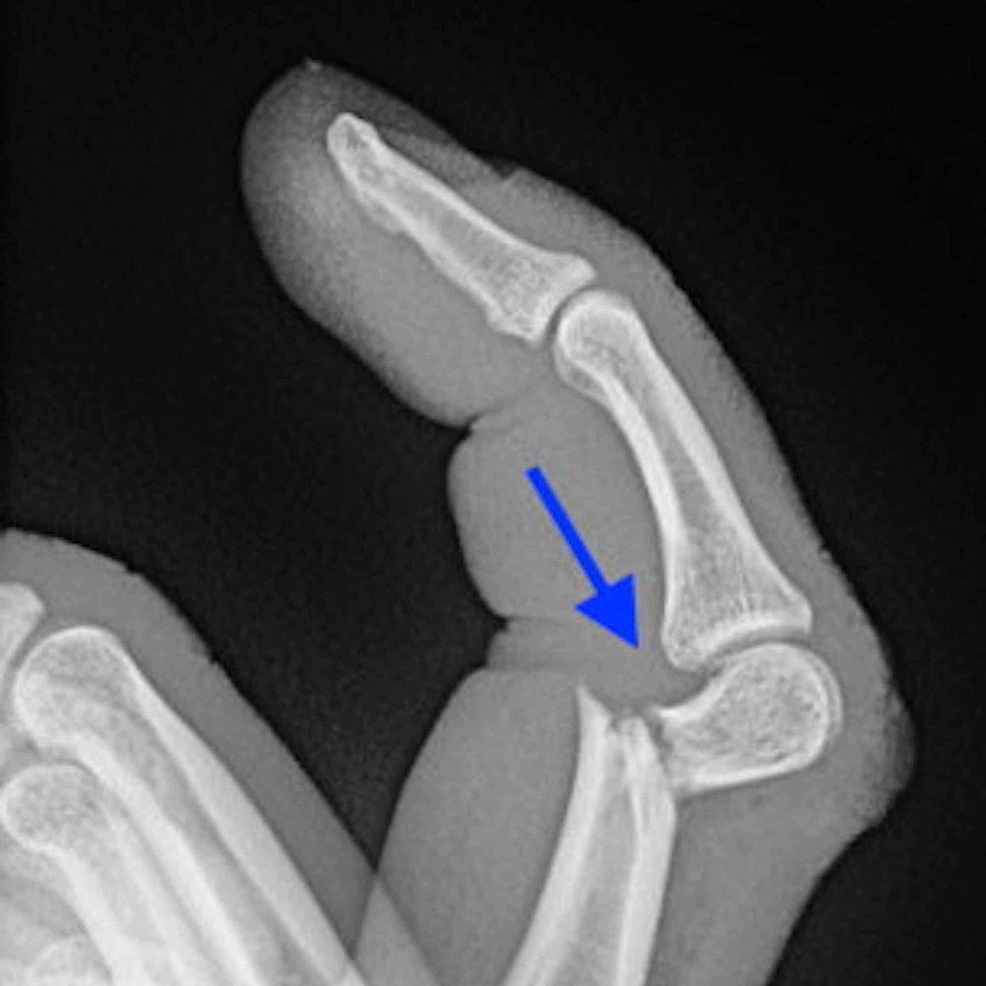
- X-ray 2 방향 촬영이 1차 진단 표준
- 모호할 경우 CT/MRI 추가
치료 과정과 고정 전략


- 버디 테이핑(buddy taping)
- 2–4주 간 인접 발가락과 함께 고정
- 움직임을 20–30 %로 제한해 뼈 유합 촉진
- 굳은창이 달린 단단한 밑창(리짓솔) 전용 슈즈
- 체중 분산 & 발끝 굽힘 억제
- 깁스·단하지 석고
- 무지 골절·관절 내 골절·복합 골절에서 3–4주 적용
- 수술(핀·스크루 고정)
- 변위 2 mm↑, 관절 선 불일치, 개방 골절일 때 선택
TIP : 심부 멍과 부종을 줄이려면 처음 48 시간은 RICE(안정·냉찜질·압박·거상)를 철저히 지키세요.


단계별 재활 프로그램
1단계 급성기(0–1 주)
- 부종 감소 : 얼음찜질 → 미지근한 온찜질 순환
- 발목 알파벳 드로잉 운동 1일 3회
- 엄지 제외한 발가락 쥐었다 펴기 10회 × 3세트
2단계 골유합기(1–4 주)
- 수건 타월 컬 : 발가락으로 수건을 끌어당기기
- 마블 픽업 : 구슬 20개를 통에 옮기기
- 발바닥 자동 근막 마사지 : 테니스공으로 1분 롤링
3단계 기능회복기(4–6 주)
- 밴드 저항 발가락 신전/굴곡 : Thera-band 저항
- 싱글 레그 스탠드 : 30초 × 3세트, 눈 감고 난이도↑
- 적외선·초음파 치료(병·의원) 병행 시 혈액순환 촉진
4단계 스포츠 복귀기(6–8 주)
- 짧은 잔디 위 맨발 걷기 5분 → 15분 증량
- 사선 러터 드릴 : 전후·좌우 방향 전환 속도 향상
- 폼롤러 비합성화 운동 : 비타민 D 섭취와 병행 시 골밀도 회복 도움

재활 시 주의사항
- 통증 지표 VAS 4점 이상 시 즉시 강도↓
- 못·스크루 삽입 후엔 영상 확인 뒤 하중 조절
- 당뇨·말초혈관질환자는 상처 감염 모니터링 필수
- 신발 앞코 1 cm 남는 토 박스 넉넉한 러닝화 착용
- 카페인·알코올 과다 섭취는 칼슘 재흡수 억제 → 회복 지연


합병증 & 재발 방지
- 말유합·각형 변형 → 편평족·무지외반증 2차 문제
- 관절 강직 → 아침 첫걸음 통증 지속
- 스트레스 골절 재발 : 훈련량을 주간 10 % 이상 급증시키지 말 것
- 예방 전략
- 하이 아치 → 쿠션 깔창 / 평발 → 탄성 지원 깔창
- 비타민 D 800–1000 IU/일 + 칼슘 1000 mg/일 섭취
- 하체 근지구력 훈련으로 피로 누적 감소
일상 복귀 체크리스트
- □ 붓기가 거의 없다
- □ 아침 기상 직후 통증 < VAS 1
- □ 20분 지속 보행 시 통증·절뚝거림 없음
- □ 계단 오르내리기·런지 스쿼트 시 통증 < VAS 2
- □ 뛰어내린 뒤 즉시 체중 완전 지지 가능
결론
발가락 골절은 **뼈 자체의 유합(4–6주)**만으로 “완치”를 단정하기 어렵습니다. 근력·유연성·균형 감각을 원래 상태로 되돌려야 본래의 걸음걸이와 스포츠 성능이 회복되고, 2차 부상도 예방할 수 있습니다. 급성기에는 충분한 안정과 정확한 고정, 이후에는 점진적 하중 부하와 체계적 재활 운동이 필수입니다. 발가락처럼 작은 뼈라도 우리 몸의 미세 균형 센서라는 사실을 기억하고, 전문의 지도 아래 적절한 재활 프로그램을 꾸준히 수행해 건강한 복귀를 이루시길 바랍니다.
반응형