갈비뼈 금간 증상, 갈비뼈 금갔을때 골절 치료기간
갈비뼈는 흉곽을 구성하며 폐, 심장 등 주요 장기를 보호하는 데 매우 중요한 역할을 합니다. 이 뼈들은 호흡 시마다 움직이기 때문에 다쳤을 경우 다른 부위보다 더 큰 통증과 불편함을 유발합니다. 갈비뼈가 금이 간다는 것은 완전한 골절이 아닌, 미세한 금이 간 상태를 의미하지만 이 또한 일상생활에 큰 영향을 줍니다. 겉보기에는 외상이 크지 않아 보여도 숨을 쉴 때마다 통증이 느껴지고, 특정 동작에서 불편함이 지속되기 때문에 주의가 필요합니다.


이 글에서는 갈비뼈 금간 증상, 진단, 치료 및 회복 과정, 그리고 주의사항까지 종합적으로 안내드립니다.
갈비뼈 금간 증상
갈비뼈에 금이 간 경우에는 아래와 같은 갈비뼈 금간 증상들이 나타날 수 있으며, 초기에는 단순한 근육통으로 오인되기 쉬워 정확한 인지가 중요합니다.


1. 날카로운 국소 통증
- 기침, 재채기, 웃음, 깊은 숨 들이쉬기 등 일상적인 행위에서 날카로운 통증이 유발됩니다.
- 특히 숨을 깊게 들이쉬거나 몸을 옆으로 돌릴 때 뼈와 근육이 함께 움직이면서 통증이 더욱 심해집니다.
- 초기에는 움직일 때만 아프다가 점차 가만히 있어도 묵직한 통증이 느껴질 수 있습니다.
2. 특정 부위 눌렀을 때 통증
- 손가락으로 눌렀을 때 정확한 지점에서 통증이 발생하며, 이는 금이 간 위치를 파악하는 데 도움이 됩니다.
- 특히 늑골 중간에서 가슴이나 옆구리 부분을 눌렀을 때 통증이 도드라지는 경우가 많습니다.
3. 멍과 붓기 동반 가능
- 외부 충격이 원인일 경우 멍이나 부기, 색변화가 동반될 수 있으며, 이런 경우 시각적인 단서가 됩니다.
- 하지만 내부 골절만 발생한 경우에는 외부에서 전혀 확인되지 않기도 하므로 통증 여부가 더 중요합니다.
4. 얕은 호흡과 답답함
- 심호흡 시 통증이 심해지기 때문에 얕은 호흡을 하게 되며, 그로 인해 답답함을 느낄 수 있습니다.
- 이로 인해 산소 포화도가 낮아지고 어지러움이나 피로감이 증가할 수 있습니다.


5. 수면장애와 자세 불편
- 통증으로 인해 편안한 자세를 잡기 어려우며, 누울 때마다 갈비뼈에 자극이 가해져 수면의 질이 떨어집니다.
- 특히 옆으로 눕는 자세에서 통증이 극심해져 등을 대고 자야 하는 상황이 자주 발생합니다.
6. 활동 중 통증 재현
- 가벼운 스트레칭이나 팔을 위로 올리는 행위, 물건 들기, 문 열기 등 일상 행동에서도 통증이 재현됩니다.
- 특히 상체 회전이 동반된 동작에서는 예외 없이 통증이 발생합니다.
7. 드물지만 동반 증상
- 일부 경우에는 갈비뼈 금간 부위에 염증이 발생하거나 늑막염 증상이 동반되기도 합니다.
- 갈비뼈 안쪽에 위치한 폐 또는 늑막에 자극이 가해질 경우 호흡 시 마찰음이 들릴 수도 있습니다.


갈비뼈 금갔을 때 갈비뼈 골절 치료기간
갈비뼈는 비교적 자가 치유력이 높은 부위 중 하나로, 적절한 안정과 통증 조절만 해도 대부분 수술 없이 회복할 수 있습니다.
1. 평균 갈비뼈 골절 치료기간
- 일반적으로 갈비뼈 골절 치료기간은 4주에서 6주 정도의 시간이 필요합니다.
- 20~40대 성인이라면 3주부터 통증이 완화되기 시작하며, 고령자, 흡연자, 골다공증 환자는 회복이 더디게 나타날 수 있습니다.
- 일부 고강도 활동을 하는 사람이나 스포츠 선수는 회복 기간이 더 길어지거나 재손상 위험이 커집니다.
2. 회복을 돕는 관리법
- 초기에 무리한 활동을 자제하고 상체 사용을 최소화하는 것이 중요합니다.
- 진통제와 소염제(NSAIDs)를 병행하면 통증을 줄이고 호흡을 원활하게 유지할 수 있습니다.
- 통증 때문에 얕은 호흡을 계속하면 폐기능이 저하되고, 심한 경우 폐렴이나 무기폐 발생 위험이 있습니다.
- 따라서 깊은 호흡을 유도하는 폐활량 운동(스파이로미터 사용 등)이 적극 권장됩니다.
3. 재손상 예방
- 회복 중에는 증상이 나아졌더라도 다시 충격을 받지 않도록 주의해야 합니다.
- 무거운 물건 들기, 과도한 팔 들기, 체력 운동은 최소 4주간 피하는 것이 좋습니다.
- 간혹 회복기에 무리한 운동으로 인해 기존 금간 부위가 완전 골절로 악화되는 사례도 있습니다.
병원 진단 및 치료 방법



1. 진단 절차
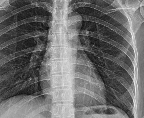
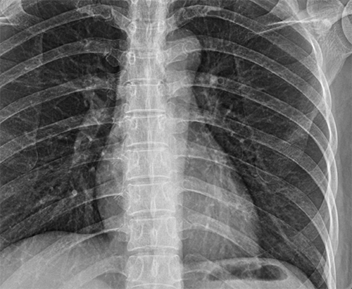
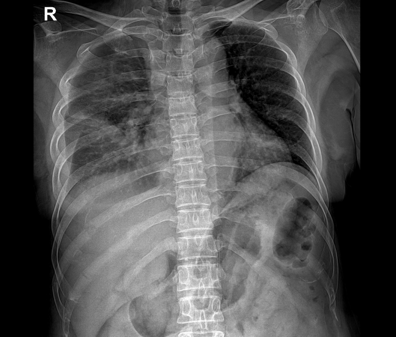
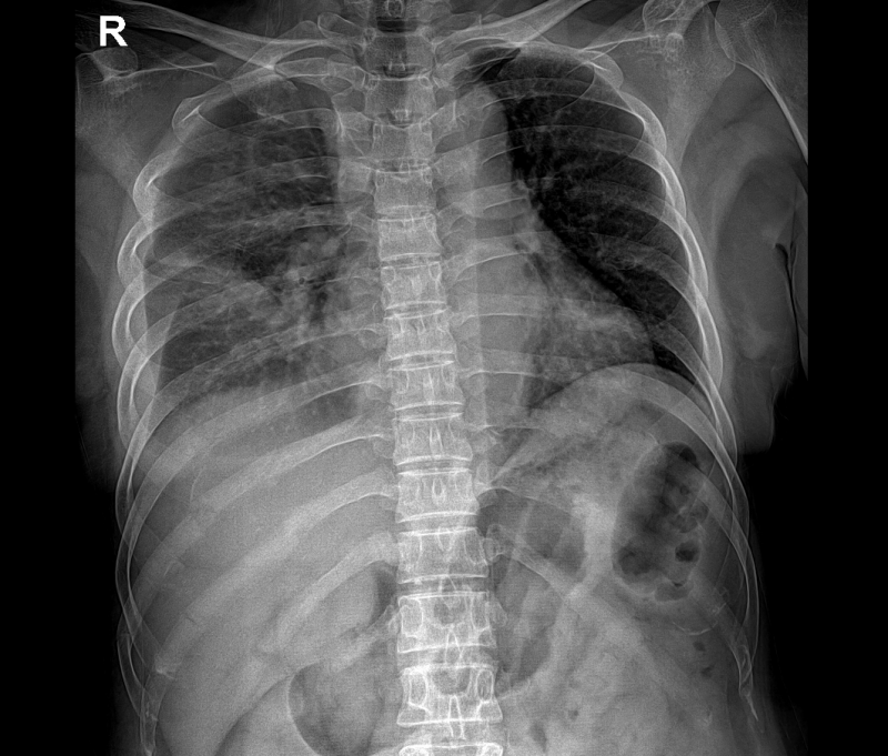
- 흉부 X-ray: 기본적으로 갈비뼈 골절 여부 확인 시 가장 많이 활용됩니다.
- CT(컴퓨터 단층 촬영): X-ray에서 확인이 어려운 미세골절, 연골 손상, 내부 출혈까지 파악 가능.
- 초음파 검사: 염증 여부나 주변 연부조직 상태를 점검할 때 병행될 수 있습니다.
2. 치료 방식
- 비수술적 치료가 기본: 깁스는 사용하지 않으며, 대부분 안정과 약물치료로 회복을 돕습니다.
- 약물 처방: 이부프로펜, 나프록센 등의 NSAIDs, 심한 경우 진통보조제 투여.
- 호흡 훈련: 얕은 호흡 방지를 위해 깊게 숨 쉬고 천천히 내쉬는 연습이 필수입니다.
- 물리치료 병행: 회복 후반기에 근육 긴장 완화, 혈액순환 증진을 위해 온열치료 또는 가벼운 마사지.
갈비뼈 골절과 금간 상태의 차이점
갈비뼈 부상은 흔히 '골절'이라는 단어로 포괄되지만, 실제로는 완전 골절과 금간 상태(불완전 골절)로 구분됩니다.
- 불완전 골절(금간 상태): 뼈의 연속성은 유지되나 내부 미세 손상 발생. 대부분 위치 변형은 없음.
- 완전 골절: 뼈가 두 조각 이상으로 분리되어 움직임이 발생하며, 심한 경우 주변 장기에 손상 초래.
- 압박골절: 노인층에서 자주 발생하며, 강한 충격 없이도 뼈가 내려앉는 형태로 금이 감.
금이 간 상태는 구조적으로 안정되어 있어 수술 없이 회복되는 경우가 대부분이지만, 완전 골절은 고정과 통증 조절을 위한 적극적인 치료가 필요합니다.

일상 속 회복을 돕는 방법과 주의사항
1. 증상 무시는 절대 금물
- 뻐근한 느낌이라고 방치하다가 상태가 악화될 수 있으므로 초기 통증 시에는 반드시 병원 진료를 받아야 합니다.
2. 찜질 요법
- 초기에는 냉찜질로 염증과 부기를 가라앉히고, 이후에는 온찜질로 혈류를 증가시켜 회복을 촉진합니다.
- 하루 3~4회, 15~20분씩 반복하는 것이 적당합니다.
3. 수면 자세와 체위 조절
- 옆구리가 눌리지 않도록 등을 대고 누워 베개를 2개 정도 겹쳐 상체를 세워주는 자세가 추천됩니다.
- 쿠션을 옆구리에 받쳐 체중이 옮겨지지 않도록 유지하는 것도 도움이 됩니다.
4. 뼈 회복에 도움 되는 음식 섭취


- 칼슘: 멸치, 우유, 치즈, 두부
- 비타민 D: 연어, 고등어, 달걀 노른자, 버섯
- 단백질: 닭가슴살, 두부, 콩, 계란, 두유 등
- 마그네슘: 바나나, 아보카도, 견과류
- 커피나 탄산음료, 과도한 나트륨 섭취는 칼슘 흡수를 방해하므로 주의해야 합니다.


결론
갈비뼈가 금이 간 상황은 일상적인 동작조차 불편하게 만들며, 방치 시에는 완전 골절이나 2차 손상으로 이어질 수 있는 심각한 상태입니다. 겉으로는 큰 외상이 없어 보이더라도 기침, 웃음, 재채기, 수면 시 심한 통증이 나타난다면 조속한 진단과 관찰이 필요합니다. 회복에는 평균 4~6주의 시간이 소요되며, 이 기간 동안 충분한 휴식, 통증 조절, 폐활량 유지, 음식 조절 등이 중요합니다. 무엇보다 회복 중 재손상을 방지하는 것이 장기적인 건강을 위한 핵심입니다.