경동맥 초음파 검사로 알 수 있는 병, 비용
경동맥 초음파란 - 원리와 범위
초음파는 방사선 노출이 없고 반복 가능성이 높다는 장점이 있습니다. 특히 혈관 석회화가 심한 일부 환자에서 시야 제한이 있을 수 있으나, 비용-효과성과 접근성이 뛰어나 1차 선택 검사로 널리 사용됩니다.


- B-모드 초음파: 혈관 벽층(내막-중막-외막)과 플라크의 모양, 두께, 석회화를 영상으로 확인합니다.
- 도플러 초음파: 혈류의 속도와 방향, 스펙트럼을 분석해 협착 정도를 정량화합니다.
- 관찰 구간: 좌우 총경동맥-분지부-내경동맥 근위부가 핵심이며, 필요 시 외경동맥·경정맥, 쇄골하동맥 일부도 확인합니다.
대표적인 경동맥 초음파 검사로 알 수 있는 병
경동맥 초음파는 목의 큰 동맥(총경동맥, 내·외경동맥)을 고해상도 B-모드와 도플러로 관찰해 죽상경화 플라크, 협착, 혈류 속도 변화를 실시간으로 평가하는 비침습 검사입니다. 경동맥 초음파 검사로 알 수 있는 병으로는 뇌졸중의 주요 원인인 경동맥 협착과 불안정 플라크를 조기에 포착할 수 있고, 약물치료 성과 추적에도 유용합니다. 검사 시간은 보통 15-30분, 금식은 필요 없습니다.


경동맥 협착·폐색
죽상경화로 혈관 내강이 좁아지면 도플러에서 최고수축기속도(PSV) 상승, 난류, 스펙트럼 확산이 관찰됩니다. 중등도 이상의 협착은 뇌졸중 위험 상승과 연관되므로 항혈소판제, 스타틴 강화, 혈압·당뇨·지질 교정, 금연 등 집중적 위험인자 관리가 필요합니다. 특정 기준을 만족하는 중증 협착에서는 경동맥 내막절제술(CEA)이나 스텐트 삽입이 검토됩니다.
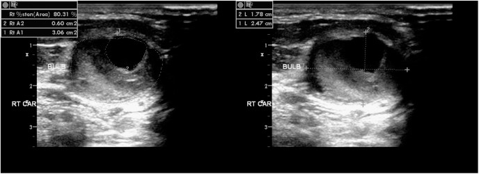
죽상경화 플라크 성상 평가
플라크는 저에코(연성), 등·고에코(섬유·석회화), 표면 불규칙·궤양 등으로 묘사됩니다. 영상에서 연성·불안정 소견은 색전 위험과 연관될 수 있어 주의 깊은 추적과 치료 최적화가 권장됩니다.
내중막 두께(IMT)와 미세 변화
경동맥 내중막두께(IMT) 는 전신 동맥경화의 지표로 활용됩니다. 연령, 고혈압, 당뇨, 이상지질혈증, 흡연이 증가 요인입니다. IMT 단독으로 치료를 결정하지는 않지만, 생활습관 교정과 약물치료의 추적 지표로 의미가 있습니다.
경동맥 박리·가성동맥류·경동맥박동종양
- 박리(dissection): 내막 찢김으로 이중 내강 혹은 intimal flap 소견, 비정상 색도플러 흐름이 관찰될 수 있습니다.
- 가성동맥류: 국소 팽대와 소용돌이 흐름이 나타날 수 있습니다.
- 경동맥박동종양(CBT): 분지부 주변의 고혈관성 종괴가 포착되며, 진단 확정과 수술 계획에는 CT/MRI가 병행됩니다.
초음파는 초기 분별과 추적에 유용합니다.
위 질환별 활용성은 국내 학회 표준검사지침에서 정리되어 있으며, 임상 상황에 맞는 적응증과 판독 체계를 따릅니다.
누가 검사를 받으면 좋은가 - 적응증과 스크리닝

- 증상이 있는 경우
- 일과성 허혈발작(TIA) 또는 뇌경색 의심 증상
- 청진상 경동맥 잡음(bruit)
- 원인 불명의 실신·현훈 등에서 혈관성 요인 평가 필요 시
- 고위험 무증상군에서 고려
- 당뇨, 고혈압, 이상지질혈증, 흡연, 조기 심뇌혈관병 가족력
- 이미 관상동맥질환 또는 말초동맥질환이 있는 경우
- 일반 인구 집단 ‘무증상 일괄 스크리닝’은 국제 권고에서 이득이 제한적이라는 견해가 있으며, 국내에서도 개인 위험도를 따져 의사와 상의해 선택하는 접근이 합리적입니다.

검사 절차 - 준비, 소요 시간, 안전성
- 준비: 금식 불필요. 목 주변을 넓게 노출할 편한 복장 권장. 목걸이·스카프는 제거.
- 진행: 눕거나 약간 고개를 젖힌 자세에서 젤을 바르고 좌우 경동맥을 순차적으로 스캔합니다. B-모드로 벽과 플라크를, 컬러/펄스 도플러로 혈류를 측정합니다.
- 시간: 보통 15-30분. 판독 포함 시 병원 체류 시간은 30-60분.
- 안전성: 방사선 노출 없음. 통증 거의 없음. 반복 추적에 적합.


결과 리포트 - 용어 해설과 읽는 법
- ICA, CCA, ECA: 각각 내·총·외경동맥을 의미합니다.
- PSV/EDV: 최고수축기속도/말기이완기속도. 협착이 심할수록 PSV 상승, EDV 변화 동반.
- ICA/CCA 속도비: 협착의 상대적 지표로 활용.
- IMT: 내중막두께. 좌·우 평균 또는 최대값 기재.
- Plaque morphology: 저에코/고에코, 불규칙, 궤양 등 성상 기술.
- 진단 문구 예시: ‘우측 ICA 근위부 중등도 협착 의심’, ‘양측 CCA 분지부 석회화 플라크’, ‘좌측 IMT 증가’.


숫자 기준은 기기·연산·프로토콜에 따라 다르고, 최종 해석은 임상의 판독과 증상, 다른 영상검사 결과를 종합해 판단합니다. ([j-nn.org][1])
경동맥 초음파 검 비용과 보험 적용 - 2024~2025 동향 기준
경동맥 초음파 검사 비용은 목적과 기관에 따라 차이가 큰데, 의사의 의학적 판단에 따른 진단 목적이면 건강보험 적용이 가능하고 일반 건강검진 추가 항목은 비급여로 진행됩니다. 대표적인 경동맥 초음파 검사 비급여 비용 범위는 대략 수만 원대부터 10만 원대 초중반까지 분포합니다.

- 의학적 필요에 따른 진단 목적: 의사의 판단 하에 시행하는 경동맥 초음파는 건강보험 급여 적용 대상이 될 수 있습니다. 다만 급여 범위와 본인부담률은 기관 유형·진료과정에 따라 달라질 수 있습니다. 초음파 급여의 일반 원칙은 보건복지부·심평원 고시와 질의응답 자료에서 확인할 수 있습니다.
- 건강검진 등 ‘추가 선택 항목’: 통상 비급여로 진행되며 기관별 공시가격이 존재합니다. 국민건강보험공단 비급여 정보 포털에는 ‘두개외 혈관 도플러 초음파-경동맥’ 항목의 2024년 기준 가격현황이 공개되어 있어, 지역·기관별 편차를 미리 확인할 수 있습니다.
- 가격 범위의 예
- 민간 플랫폼의 조사치: 경동맥 초음파 약 4만-20만 원, 평균 약 11만 원으로 기관별 편차가 큽니다(조사 시점·표본에 따라 변동 가능).
- 특정 검진기관의 공시 예: 경동맥 초음파 12만 원으로 비급여 안내에 명시한 사례가 있습니다. 실제 청구 금액은 세부 프로그램에 따라 달라질 수 있습니다.
정리하면, 증상 평가나 치료 결정을 위한 검사라면 급여 적용 가능성이 높고, 건강검진 옵션으로 추가하는 경우에는 대체로 비급여입니다. 실제 본인부담은 병원급·상급종합병원 여부, 다른 검사 동시 시행, 판독료 포함 여부 등에 따라 달라집니다. 방문 전 기관의 비급여 공시와 보험 적용 여부를 확인하는 것이 가장 정확합니다.
자주 묻는 질문
얼마나 자주 받아야 하나
- 협착이나 플라크가 확인된 경우: 대개 6-12개월 간격 추적을 고려합니다. 치료 변화(예: 스타틴 증량, 금연 성공 등) 후에는 의사가 임상적으로 판단해 스케줄을 조정합니다.
- 고위험이지만 초기 검사에서 특이 소견이 없는 경우: 1-2년 간격 재평가를 논의할 수 있습니다.
- 무증상·저위험군: 일괄적 정기검사보다는 위험인자 관리가 우선입니다.
CT·MRI와 무엇이 다른가
- 초음파: 침습성 낮고 저비용, 혈류 동역학을 실시간 측정.
- CT혈관조영(CTA): 석회화 평가와 3D 해부학 우수하나 조영제·방사선 노출.
- MR혈관조영(MRA): 방사선 없고 혈관 지도에 강점, 시간·비용 증가.
임상에서는 초음파로 1차 평가 후, 필요 시 CTA/MRA로 수술 계획을 세우는 식으로 상보적으로 사용합니다.
생활습관이 결과에 미치는 영향은
금연, LDL-콜레스테롤 목표 달성, 혈압·혈당 관리, 체중 조절, 운동 습관은 IMT와 플라크의 진행을 늦추거나 안정화하는 데 중요합니다. 약물치료의 기본은 스타틴이며, 고위험군에서는 에제티미브·PCSK9 억제제가 추가될 수 있습니다.
검사 전후 체크리스트
- 검사 전
- 금식 필요 없음. 다만 목 부위를 넓게 노출할 수 있는 복장 준비.
- 복용 중인 약, 기저질환 목록을 준비 - 항혈소판제·항응고제·지질강하제 등.
- 과거 CT/MR/초음파 결과가 있으면 가져오기 - 추적 비교에 유용.
- 검사 중
- 움직임 최소화, 검사자의 지시에 따라 숨 들이마시기·내쉬기.
- 통증은 거의 없고, 젤의 차가움 정도만 느껴집니다.
- 검사 후
- 젤 제거 후 바로 일상 복귀.
- 결과 설명 때 협착 정도, 플라크 성상, IMT, 추적 시점, 생활습관·약물 계획을 체크리스트로 받아두기.
블로거 관점 - 독자에게 전달하면 좋은 포인트
- 한 장의 그림으로 설득: 분지부 플라크 전·후 비교 이미지는 위험인자 관리의 동기부여에 강력합니다.
- 팩트 기반 비용 안내: 기관별 비급여 공시 링크와 가격 범위를 함께 제시해 독자의 의사결정 피로를 줄입니다.
- 검사 결과와 행동 연결: 수치 열거보다 ‘다음 방문 때까지 무엇을 바꿀지’가 핵심입니다 - 금연, LDL 목표, 혈압·혈당 목표, 복약 준수.
결론 - 오늘 당장 점검할 세 가지
- 내 위험도: 흡연, LDL, 혈압, 혈당, 가족력 체크.
- 검사 적응증: 증상이 있거나 고위험이면 경동맥 초음파를 우선 고려.
- 비용·보험: 진단 목적이면 급여 가능성, 검진 옵션은 비급여 - 기관별 공시 확인으로 정확도 확보.
경동맥 초음파는 뇌졸중 예방 전략의 출발점입니다. 검사 자체보다 중요한 것은 결과를 생활습관과 치료 목표로 연결하는 일입니다. 꾸준한 관리와 정기 추적으로 혈관 나이를 되돌릴 수 있습니다.