경동맥 초음파 검사로 알수있는병 10, 비용
경동맥 초음파 검사는 목 양쪽을 따라 흐르는 주요 혈관인 경동맥의 상태를 실시간으로 확인할 수 있는 대표적인 혈관 검사입니다. 초음파를 이용하기 때문에 방사선 노출이 없고, 시술이 간단하며, 통증이 거의 없어 많은 분들이 건강검진에서 함께 진행하고 있습니다. 특히 심뇌혈관 질환 위험이 증가하는 40대 이후, 고혈압이나 당뇨 등 만성질환이 있는 분들, 흡연자, 가족력이 있는 분들에게 조기 진단과 예방을 위해 권장되는 검사입니다. 경동맥 내부에 혈전이나 플라크가 쌓여 혈관이 좁아지거나 딱딱해지는 이상 소견은 뇌졸중 위험 증가와 직결될 수 있어 빠르게 확인하고 관리하는 것이 무엇보다 중요합니다.


이 글에서는 경동맥 초음파 검사로 알수있는병에는 어떤 질환들이 있는지, 경동맥 초음파 검사 비용은 어느 정도인지, 그리고 자주 묻는 질문까지 종합적으로 정리해 드리겠습니다.
경동맥 초음파 검사로 알수있는병
경동맥 초음파 검사를 통해 파악할 수 있는 대표적 질환과 이상 소견은 다음과 같습니다.
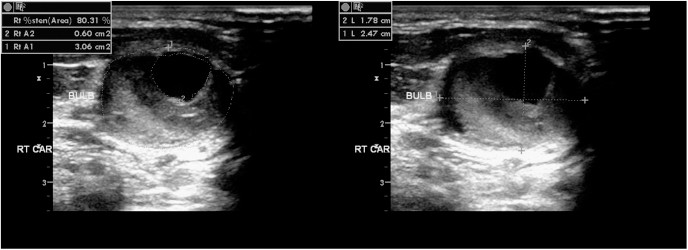
- 경동맥 협착증
- 동맥경화증(죽상경화증)
- 경동맥 플라크(혈전) 존재 여부
- 혈관 내막 두께 증가(IMT 두께 증가)
- 혈류 감소 및 혈관 폐색 가능성
- 동맥류
- 혈관 해부(박리)
- 뇌졸중 위험 징후
- 고지혈증으로 인한 혈관 변화
- 전신 질환으로 인한 혈관 염증 변화
경동맥 협착증은 혈관이 좁아진 정도를 퍼센티지로 산출하여 뇌로 가는 혈류의 장애 정도를 판단할 수 있습니다.


동맥경화가 심해져 플라크가 형성되면, 작은 조각이 떨어져 나가 뇌혈관을 막으면서 허혈성 뇌졸중을 유발할 수 있습니다. 따라서 플라크 유무와 상태 파악은 예방 측면에서 매우 중요합니다. 내막 두께(IMT)는 혈관 노화 지표로, 정상치보다 두꺼워지면 심혈관 질환 발병 위험 증가를 시사합니다. 특히 당뇨병, 고혈압 환자에게서 흔히 관찰되므로 관리의 기준이 됩니다. 드물지만 동맥류나 박리 등 혈관 벽 질환도 파악할 수 있어 응급상황 예방에 도움을 줍니다. 눈으로 직접 보이지 않는 혈관이기 때문에 초음파 영상으로 구조와 흐름을 동시에 평가할 수 있다는 것이 큰 장점입니다.


추가로, 경동맥 초음파 결과는 다음과 같은 질환의 추정 및 위험 평가에도 활용됩니다.
- 심근경색 등 관상동맥 질환 위험도 예측
- 전신 혈관 질환 가능성 평가
- 만성 신장질환 환자의 혈관 상태 관리
- 흡연자 혈관 노화 정도 평가
- 갑상선 주변 종물로 인한 혈관 압박 여부 확인
심장과 뇌를 이어주는 중요한 혈관 상태를 종합적으로 판단할 수 있어 뇌졸중 예방 검사의 표준으로 자리잡고 있습니다.

경동맥 초음파 검사 대상자
경동맥 초음파 검사는 다음과 같은 경우 적극적으로 권장됩니다.
- 40대 이상 중장년층
- 고혈압, 당뇨, 고지혈증을 가진 만성질환자
- 흡연자, 과도한 음주자
- 가족 중 심뇌혈관 질환 병력 있는 경우
- 갑작스런 어지럼증, 시야장애, 일시적 감각마비 경험자
- 비만, 대사증후군, 운동부족 등 위험요인 보유자
- 심장 수술 또는 스텐트 시술 이력자
- 경동맥 잡음(수축기 잡음)이 청진에서 들리는 경우
모든 사람에게 필수 검사는 아니지만, 위 위험 요인이 하나라도 있다면 조기 검진이 큰 도움이 됩니다.
경동맥 초음파 검사 과정
검사 과정은 간단하고 최소 시간만 소요됩니다.
- 검사실 침대에 누운 상태에서 목 양쪽을 노출
- 젤을 바르고 초음파 프로브를 접촉하여 혈관 상태 관찰
- 혈관 내막 두께, 혈류 속도, 플라크 여부 등 확인
- 검사 시간은 약 10~20분
통증 없이 진행되며, 검사 후 바로 일상생활이 가능합니다.

경동맥 초음파 검사 비용
경동맥 초음파 비용은 검사 목적 및 병원 유형에 따라 차이가 있습니다. 일반적인 가격대는 다음과 같습니다.
- 건강검진 패키지 포함 시: 추가 비용 없거나 저렴
- 병원에서 개별 검사 시: 약 3만~10만원 내외
- 보험 적용 시: 진단 목적이면 일부 본인 부담
보험 적용 여부는 다음을 기준으로 합니다.
- 단순 검사: 비급여 가능
- 뇌졸중 의심, 만성질환 관리 목적: 급여 적용 가능
대학병원이나 대형병원은 상대적으로 높은 편이며, 지역 의원에서는 비교적 저렴하게 받을 수 있습니다.
비용 구성 요소는 다음과 같습니다.
- 검사 기술료
- 판독료
- 영상 저장 및 관리료
검사 필요성은 의사와 상의하여 판단하며, 정기 검진 주기는 보통 1~2년에 한 번이 권장됩니다.


FAQ
자주 묻는 질문을 정리했습니다.
Q1. 방사선 노출 있나요?
- 없습니다. 초음파는 안전한 검사입니다.
Q2. 공복 필요할까요?
- 공복이 필수는 아니지만 편안한 상태에서 진행 권장됩니다.
Q3. 검사로 뇌졸중을 100% 예측할 수 있나요?
- 직접 예측하지는 못하지만, 위험도를 파악하여 예방 전략 수립이 가능합니다.
Q4. 고혈압 약을 복용 중인데 검사 가능할까요?
- 가능합니다. 기존 복약은 그대로 유지합니다.
Q5. 검사 후 바로 결과 확인 가능한가요?
- 많은 병원에서 검사 직후 판독 결과 설명을 제공합니다.
Q6. 경동맥에 문제가 있으면 어떤 치료가 필요한가요?
- 생활습관 교정
- 고혈압, 당뇨, 지질 관리 약물치료
- 필요 시 혈관중재술(스텐트), 내막절제술 시행
Q7. 다른 뇌검사와 차이가 있나요?
- MRI, CT는 뇌 자체를 확인하고, 경동맥 초음파는 뇌혈류 통로인 혈관 상태를 확인합니다. 상호 보완적인 검사입니다.
결론

경동맥 초음파 검사는 심뇌혈관 질환을 조기에 발견하고 뇌졸중 위험을 높일 수 있는 혈관 변화를 사전에 감지할 수 있는 매우 중요한 검진입니다. 안전하고 간단하며, 비용 부담도 크지 않아 예방 차원에서 많은 의료진이 권장하고 있습니다. 특히 만성질환자, 흡연자, 고령층은 정기적인 검사로 혈관 건강을 체크하는 것이 좋습니다. 뇌혈관 질환은 한 번 발생하면 후유증이 크게 남을 수 있기 때문에, 미리 관리하는 것이 가장 확실한 예방법입니다.
평소 혈압과 콜레스테롤을 잘 조절하고, 금연과 규칙적인 운동을 통해 혈관 건강을 지키며, 정기적인 검진으로 이상 징후를 놓치지 않는 것이 중요합니다. 경동맥 초음파 검사를 통해 상태를 정확히 파악하고, 향후 발생 가능한 심각한 질환을 예방하는 것이 건강한 삶을 유지하는 첫걸음입니다.